兵庫旅行記(ブログ) 一覧に戻る
ちょっとしたアクシデントで足首の関節がバラバラに。<br />骨折は5度目だが、今回と4度目との間隔が開いてるので不安に。<br /><br />どちらにしても久し振りの入院、長期療養に突入だ!<br /><br /><br />レントゲン撮影の時は何時も「男前に撮ってくれぃ」と技師に言うのだが大抵は無視される。<br /><br /><br />そんなワケで治療は現在進行中であるのだ。

足首が折れちまったぜぃ!!

3いいね!

2012/12/31 - 2013/01/01

18323位(同エリア23261件中)

2

5

ジェームズ・ボンド

ジェームズ・ボンドさん

ちょっとしたアクシデントで足首の関節がバラバラに。
骨折は5度目だが、今回と4度目との間隔が開いてるので不安に。

どちらにしても久し振りの入院、長期療養に突入だ!


レントゲン撮影の時は何時も「男前に撮ってくれぃ」と技師に言うのだが大抵は無視される。


そんなワケで治療は現在進行中であるのだ。

一人あたり費用
100万円以上
交通手段
徒歩
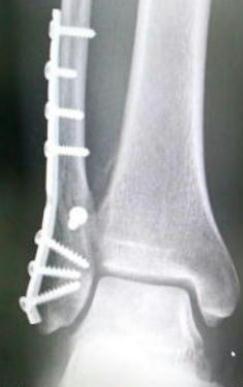
  • 適当な板を骨に沿わせてネジ止めするという、治療と言うよりは全くの大工仕事。<br />

    適当な板を骨に沿わせてネジ止めするという、治療と言うよりは全くの大工仕事。

  • MRIで3D画像になる、しかもクルクルと動かせるのだ。<br /><br />データを焼いてくれるので骨折画像を自分のパソコンで動かして遊んでると、何故かキズが痛くなってくる。

    MRIで3D画像になる、しかもクルクルと動かせるのだ。

    データを焼いてくれるので骨折画像を自分のパソコンで動かして遊んでると、何故かキズが痛くなってくる。

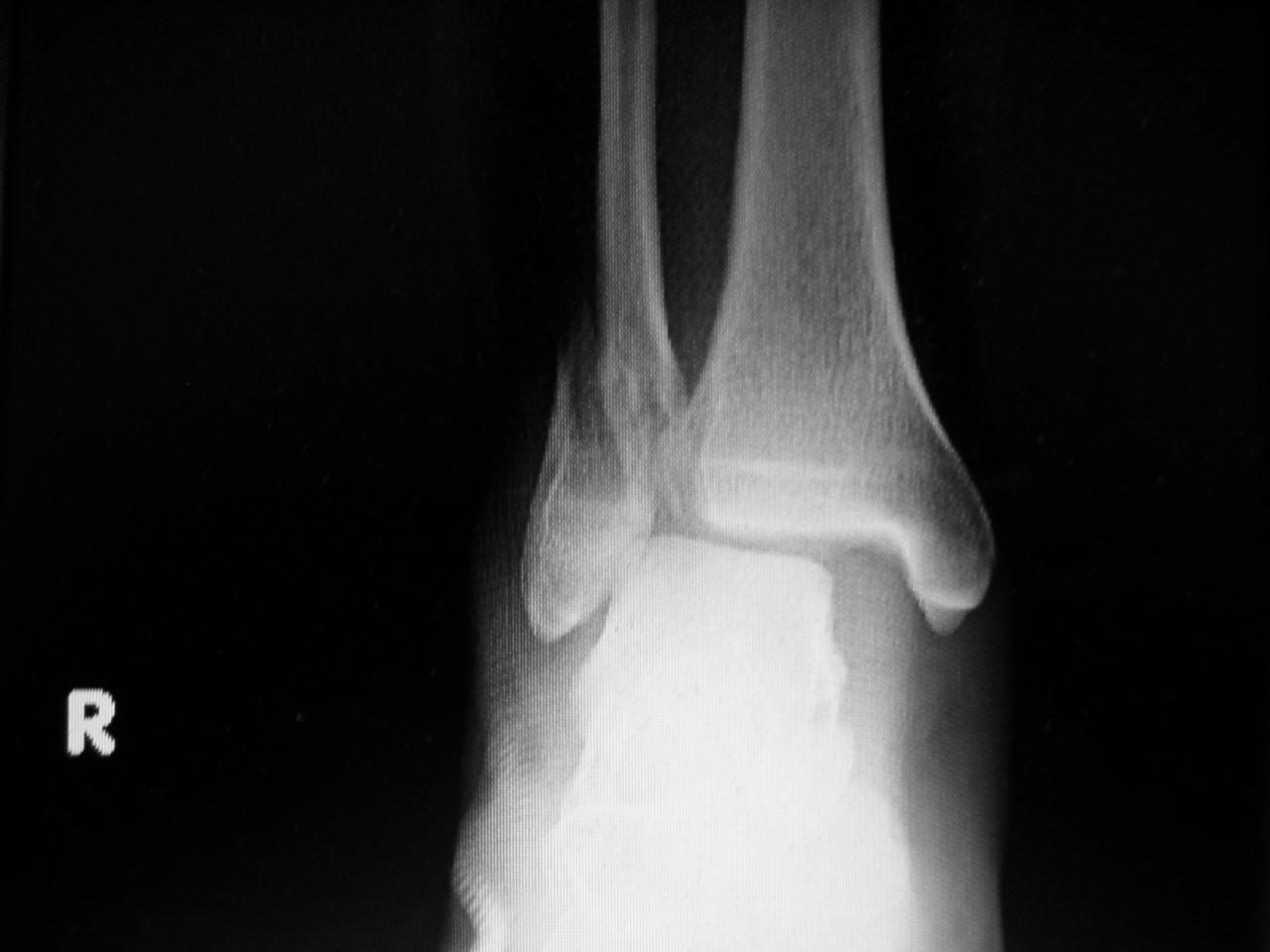
  • でも、MRI画像よりレントゲン写真のほうがリアリティが。<br /><br />暖かみもあるし。<br />

    でも、MRI画像よりレントゲン写真のほうがリアリティが。

    暖かみもあるし。

  • 毎日、リハビリに通ってます。<br />この角度が付いた板に乗ると足首が曲げられるのです。<br />リハビリの後は足首が痛んで苦しい!<br />

    毎日、リハビリに通ってます。
    この角度が付いた板に乗ると足首が曲げられるのです。
    リハビリの後は足首が痛んで苦しい!

  • ホントの「足代わり」。<br />

    ホントの「足代わり」。

この旅行記のタグ

3いいね!

利用規約に違反している投稿は、報告する事ができます。 問題のある投稿を連絡する

この旅行記へのコメント (2)

開く

閉じる

  • ひでじいさんさん 2021/10/07 10:12:14
    お邪魔します。
    最後の写真はボンドカーですね。ねじ止めではなくボンド付けならいいのに。
    私は耳の手術しましたが縫うのではなく、接着剤で塞ぎました、したがって日帰り入院で済みました。しかし、身障者になってしまい手帳を貰い特例もあり何とか生きてます。
    高速半額、NHK半額、入場料割引OR無料、羽田空港駐車場半額など。
    余談でした。
  • pedaruさん 2013/08/17 06:23:57
    旅行記では無いけれど
    ジェームズ・ボンドさん 初めまして

    旅行記では無いと思いますが、大変な貴重な物を見せて戴きました。

    どうぞお大事に・・・

    pedaru

ジェームズ・ボンドさんのトラベラーページ

コメントを投稿する前に

十分に確認の上、ご投稿ください。 コメントの内容は攻撃的ではなく、相手の気持ちに寄り添ったものになっていますか?

サイト共通ガイドライン(利用上のお願い)

報道機関・マスメディアの方へ 画像提供などに関するお問い合わせは、専用のお問い合わせフォームからお願いいたします。

旅の計画・記録

マイルに交換できるフォートラベルポイントが貯まる
フォートラベルポイントって?

フォートラベル公式LINE@

おすすめの旅行記や旬な旅行情報、お得なキャンペーン情報をお届けします!
QRコードが読み取れない場合はID「@4travel」で検索してください。

\その他の公式SNSはこちら/

PAGE TOP