伏見旅行記(ブログ) 一覧に戻る
travelの友達も、定期検査で予防と最低限の治療を!<br />原稿寿命だから、楽しめる国内外の散策ですから!<br /><br /> CORONA禍に良く見つかった私の癌細胞!<br />術前の造影画像や手術図式説明写真をUPしました<br />胃は全摘出、膵臓は必要部位を!肺は、暫く推移を見る<br />病気と無縁の私が何故!<br />リハビリは、順調だが、体力の衰えを実感しています<br />参考画像やDATAを忘れない内にUP!<br />医療チームと医療機器、皆保険等に感謝!<br />日本人の癌上位三つを7時間有余で同時オペ!<br />

齢77血糖値異常?!癌が見つかった、即外科削除!

4いいね!

2020/10/20 - 2020/11/06

1403位(同エリア1765件中)

0

16

Yamasho

Yamashoさん

travelの友達も、定期検査で予防と最低限の治療を!
原稿寿命だから、楽しめる国内外の散策ですから!

CORONA禍に良く見つかった私の癌細胞!
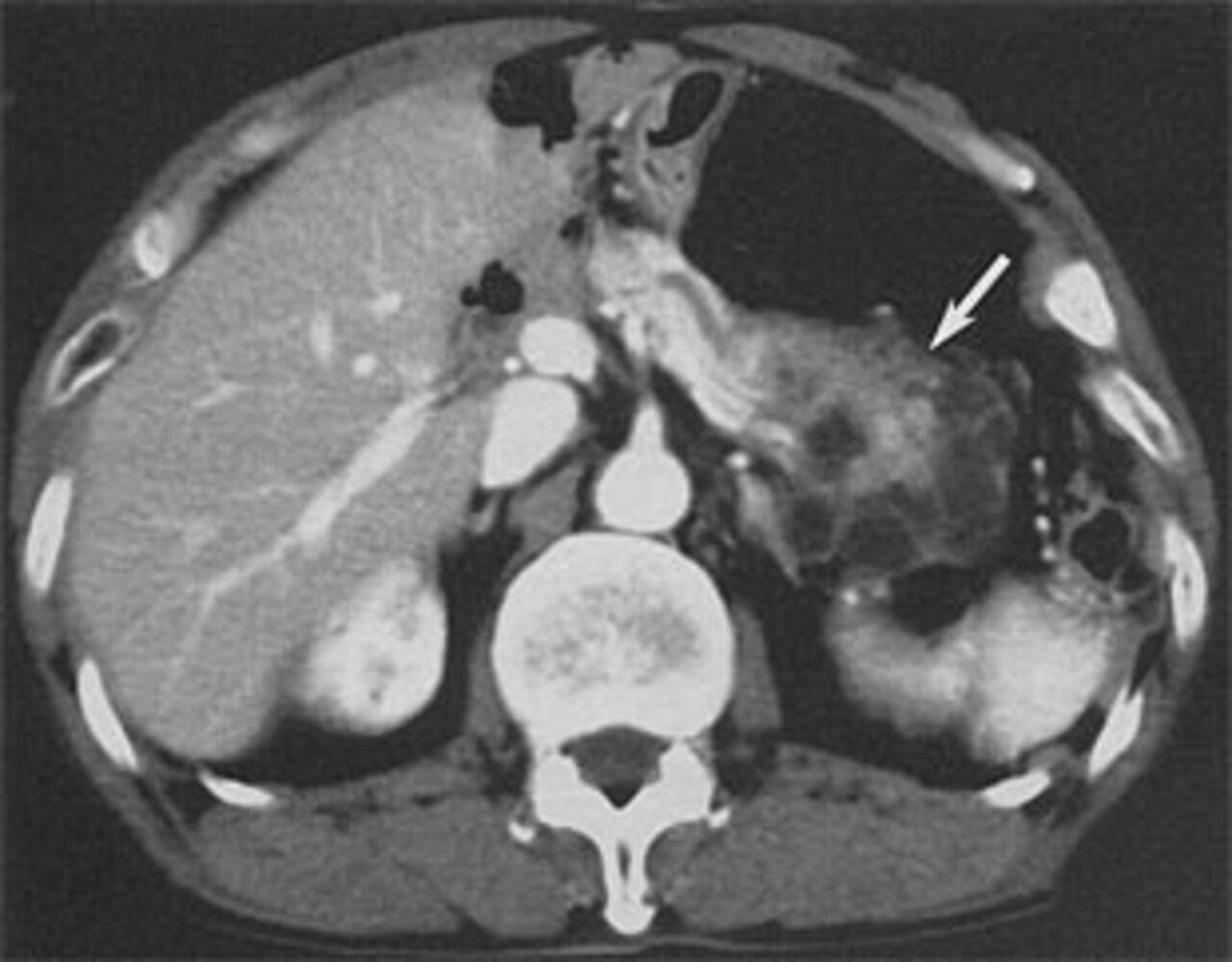
術前の造影画像や手術図式説明写真をUPしました
胃は全摘出、膵臓は必要部位を!肺は、暫く推移を見る
病気と無縁の私が何故!
リハビリは、順調だが、体力の衰えを実感しています
参考画像やDATAを忘れない内にUP!
医療チームと医療機器、皆保険等に感謝!
日本人の癌上位三つを7時間有余で同時オペ!

4いいね!

利用規約に違反している投稿は、報告する事ができます。 問題のある投稿を連絡する

コメントを投稿する前に

十分に確認の上、ご投稿ください。 コメントの内容は攻撃的ではなく、相手の気持ちに寄り添ったものになっていますか?

サイト共通ガイドライン(利用上のお願い)

報道機関・マスメディアの方へ 画像提供などに関するお問い合わせは、専用のお問い合わせフォームからお願いいたします。

旅の計画・記録

マイルに交換できるフォートラベルポイントが貯まる
フォートラベルポイントって?

フォートラベル公式LINE@

おすすめの旅行記や旬な旅行情報、お得なキャンペーン情報をお届けします!
QRコードが読み取れない場合はID「@4travel」で検索してください。

\その他の公式SNSはこちら/

価格.com旅行・トラベルホテル・旅館を比較

PAGE TOP